大家好,今天给大家分享一篇来自全北国立大学的Dae-Hyuk Kim教授团队2024年在《Applied Microbiology and Biotechnology》上发表的题为“Expression of virus-like particles(VLPs)of foot-and-mouth disease virus(FMDV)using Saccharomyces cerevisiae”的文章。
口蹄疫(FMD)是一种由口蹄疫病毒(FMDV)引起的高度传染性疾病,严重威胁全球畜牧业。传统的灭活疫苗存在生物安全风险和质量控制难题,因此,病毒样颗粒(VLPs)作为一种不含病毒遗传物质的“空壳”疫苗,成为极具潜力的替代方案。
通常,FMDV VLPs在其他系统(如大肠杆菌)中已有生产,但利用酿酒酵母(Saccharomyces cerevisiae)这一公认安全的(GRAS)微生物平台生产FMDV VLPs,尚属首次!近年,Dae-Hyuk Kim教授成功在酿酒酵母中实现了FMDV结构蛋白的表达、加工并组装成VLPs。这不仅为FMD疫苗开发提供了全新的、低成本、易规模化的生产平台,也展现了酵母在复杂病毒样颗粒组装方面的巨大潜力。
1研究亮点
1.首创平台:首次利用酿酒酵母成功生产出FMDV的病毒样颗粒。
2.机制创新:在酵母中实现了FMDV 2A肽介导的“核糖体跳跃”翻译机制,使单个mRNA能同时翻译出结构蛋白前体P1-2A和3C蛋白酶。
3.自组装成功:酵母表达的3C蛋白酶能正确加工结构蛋白前体,并成功自组装成形态完整、具有免疫原性的VLPs。
4.高产潜力:估算产量可达每升培养物约50毫克VLPs,具备良好的规模化生产前景。
2技术路径
研究团队选择了FMDV O型毒株的基因序列,并针对酵母进行了密码子优化。他们设计了一个融合基因:P1-2A-3C。
-P1:编码四个衣壳结构蛋白的前体(VP0,VP3,VP1)。
-2A:一个神奇的“核糖体跳跃”信号肽。
-3C:病毒自身的蛋白酶。
核心机制在于“2A”:在翻译过程中,2A序列能促使核糖体“跳过”肽键的形成,释放出已翻译的P1-2A多蛋白,同时允许翻译在同一mRNA上重新起始,继续翻译下游的3C蛋白酶。这样,一个转录本就产生了两个独立的蛋白产物。这个融合基因被克隆到酵母表达载体pYEGPD-TER中,转化到酿酒酵母2805菌株中。
图1表达载体构建示意图。
(a)酵母游离型表达载体pYEGPD-TER图谱。(b)pYEGPD-P1-2A-3C构建体中P1/2A和2A/3C连接处的氨基酸序列。(c)pYEGPD-P1构建体(对照)中P1的氨基酸序列。
3关键结果:蛋白加工、组装与鉴定
1.蛋白正确加工:Western blot分析证实,酵母成功表达了目标蛋白。使用针对VP1、VP2、VP3和3C的特异性抗体,均检测到了预期大小的条带。检测到了VP0(VP4-VP2前体)和VP2(由VP0在病毒组装过程中非酶切产生)的条带,这是衣壳蛋白成功组装为VLPs的有力间接证据。检测到了3C蛋白酶条带,证实了2A介导的“核糖体跳跃”机制在酵母中有效工作。
(a)抗VP3抗体,(b)抗VP1抗体,(c)抗VP2抗体,(d)抗3C抗体。泳道1-7为7个筛选出的酵母转化子。PC为大肠杆菌表达的相应阳性对照蛋白,NC为阴性对照(空载体转化子)。
2.VLPs形态学确证:通过蔗糖密度梯度离心法对VLPs进行纯化,利用透射电子显微镜(TEM)观察,清晰可见直径约30 nm、形态规则的二十面体空颗粒,其大小和形态与天然FMDV病毒粒子一致。
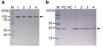
图3部分纯化的VLPs的Western blot分析。
上样前样品(a)未煮沸和(b)煮沸处理。未煮沸时,抗体识别到大于100 kDa的未成熟原聚体;煮沸后,则识别到解离的衣壳亚基(约24 kDa)。这表明酵母表达的蛋白已组装成对热敏感的VLPs结构。

图4:透射电镜(TEM)观察到的FMDV VLPs。
图中可见典型的、内部有重金属染色黑斑的空心二十面体颗粒。
3.免疫原性验证:使用商业化的FMDV抗原检测试剂盒(VDRG®)测试,结果显示酵母表达的VLPs与试剂盒中的抗体发生了特异性反应,证明其保持了天然病毒颗粒的抗原表位结构,具有引发免疫反应的潜力。
图5使用商业化FMDV诊断试剂盒检测抗原性。
(a)转化子总蛋白(1)和部分纯化的VLPs(2)检测为阳性(左二带为FMDV阳性,右二带为O型特异性)。(b)系列稀释显示,低至20µg的酵母总蛋白仍可被检测到。
4意义与展望
这项研究突破了传统生产系统的限制,具有多重优势:
(1)安全经济:酵母是GRAS微生物,发酵工艺成熟,成本低廉,易于大规模生产。
(2)平台潜力:该“2A核糖体跳跃+3C共翻译加工”策略可推广至其他FMDV血清型乃至其他病毒的VLPs生产。
(3)疫苗开发新途径:酵母细胞壁本身可作为抗原递送载体,为开发口服黏膜疫苗提供了可能,无需复杂纯化步骤。
当然,研究也指出了一些后续方向,例如如何提高VP1亚基的检测灵敏度、优化VLPs的产量和稳定性,以及最终在动物模型中验证其免疫保护效力。总而言之,这项研究为开发更安全、更经济的下一代口蹄疫亚单位疫苗奠定了坚实的基础,是合成生物学与疫苗学交叉领域的一项重要进展。